Für einen festen Biss.
Implantatversorgung
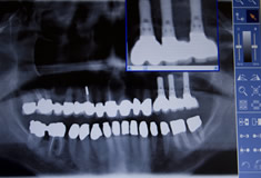
Implantate sind künstliche Zahnwurzeln aus Titan oder Keramik, die mit dem Knochen verwachsen.
Die Vorteile von Implantaten sind:
- Beschleifen von gesunden Zähnen kann vermieden werden
- Verbesserung des Prothesenhaltes für ein besseres Gefühl
- Grazilere Gestaltung von herausnehmbarem Zahnersatz
- Erhalt des Kieferknochens
In enger Zusammenarbeit mit qualifizierten Implantologen/ Kieferchirurgen fertigen wir in unserer Praxis hochwertigen implantatgetragenen Zahnersatz, d. h. Kronen, Brücken und Prothesen abgestützt auf Implantaten. Das bedeutet für unsere Patienten höchsten Kaukomfort, Sicherheit und Ästhetik.
